A brighter smile is one of those small changes that can instantly boost confidence. Whether it’s for a wedding, a job interview, a photoshoot, or just personal grooming, teeth whitening has become one of the most requested cosmetic dental treatments in India.
And if you’ve been searching for teeth whitening in Ahmedabad, you’re definitely not alone. In 2026, more people are choosing professional whitening instead of trying random home hacks that may damage enamel or cause sensitivity.
But before you book an appointment, it’s important to understand what whitening actually is, what options you have, how much it usually costs, and how to do it safely.
Why teeth look yellow even when you brush daily
This part surprises people.
Brushing is important, but brushing is not magic. It removes surface dirt, but it can’t always remove deep stains.
Teeth usually turn yellow because of everyday things like:
- Tea and coffee
- Soft drinks and dark juices
- Smoking or tobacco
- Skipping regular dental cleaning
- Natural aging (enamel gets thinner with time)
- Genetics (some people naturally have darker teeth)
Also, a lot of people think they need whitening, but what they actually need is professional scaling/cleaning first. Once the plaque is removed, teeth already look 1–2 shades better.
The biggest myth: Whitening makes your teeth “paper white”
This is where expectations go wrong.
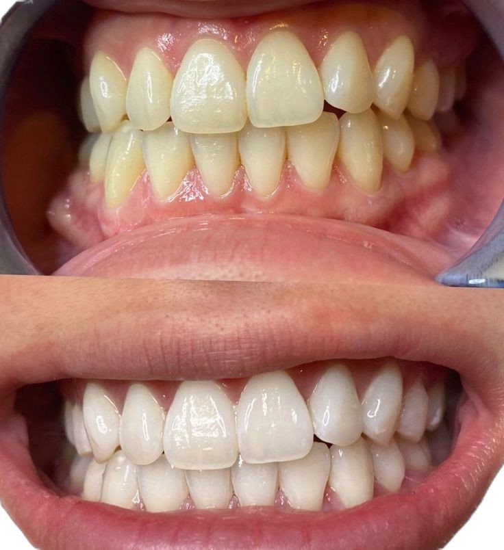
Teeth whitening doesn’t give you fake “actor-level” white teeth in one day. It improves your natural shade. Usually, you’ll get a few shades lighter — and yes, it looks great in real life and in photos.
But it won’t whiten:
- Crowns
- Caps
- Veneers
- Tooth-colored fillings
So if you already have dental work on your front teeth, whitening will still work on natural teeth, but your dentist has to plan it carefully so everything matches.
What types of whitening are actually available in 2026?
When people search teeth whitening in Ahmedabad, most don’t realize there are different methods.
Here are the common ones:
1) In-clinic whitening (quick results)
This is done at the clinic using professional-grade whitening gel. Some dentists use light activation too. This is the option people choose when they want faster visible change.
Good for: weddings, events, interviews, photoshoots.
2) Dentist-supervised home whitening kit
This is honestly one of the best options for many people.
The dentist gives you custom trays and gel, and you do it at home over a few days. It’s more controlled, and in many cases, sensitivity is less.
Good for: people who want gradual, natural-looking results.
3) Whitening toothpaste and random online kits
These can help with surface stains but don’t expect miracles.
Also, many online gels and strips are not used correctly, which is why people end up with gum burns and sharp sensitivity.
Teeth whitening cost in Ahmedabad (what you should expect)
This is the question everyone asks first — and fair enough.
The cost depends on:
- Which method you choose
- How strong the stains are
- Whether you need cleaning first
- The quality of products used
In most cases:
- Basic clinic whitening is mid-range
- Advanced whitening is higher
- Home trays fall in the middle
One honest tip: if someone is offering whitening for a suspiciously cheap price, be careful. Whitening is safe only when proper products and proper technique are used.
Is teeth whitening safe? (The honest answer)
Yes, professional whitening is safe.
But… it’s not something you should treat like a “beauty salon service.”
The most common side effects are:
- Sensitivity for 1–3 days
- Mild gum irritation if gel touches the gums
These are temporary and manageable.
The real problems happen when:
- You already have cavities and still do whitening
- Your gums are inflamed
- You use strong gels without supervision
- You overdo whitening repeatedly
That’s why, when you’re planning teeth whitening in Ahmedabad, always choose a clinic that checks your teeth properly before starting. Whitening should never begin without a basic dental exam.
Who should avoid whitening for now?
Whitening should be delayed if you have:
- Cavities
- Bleeding gums
- Severe sensitivity
- Very thin enamel
- Pregnancy (most dentists avoid it as a precaution)
In these cases, the dentist will fix the real issue first — and that’s actually a good sign. It means the clinic is focusing on safety, not just money.
How long do whitening results last?
This depends mostly on your habits.
If you drink tea/coffee daily, smoke, or love masala foods with strong stains, the results fade faster.
But if you maintain it well, whitening can last months — sometimes even longer.
The biggest tip dentists give is this:
For the first 48 hours after whitening, avoid staining foods and drinks.
That means no tea, coffee, dark sauces, colas, or tobacco. Those first two days decide how long your whitening lasts.
Choosing the right clinic matters more than the method
The safest whitening is not the “most expensive” one.
It’s the one done by the right dentist.
A best Dental clinic in Ahmedabad will usually:
- Do a proper checkup first
- Suggest cleaning if needed
- Explain which method suits you
- Set realistic expectations
- Give you after-care instructions
That’s how you get good results without regret.
Final words
Whitening can genuinely upgrade your smile — but only when it’s done smartly. Don’t chase shortcuts. Don’t trust viral hacks. And don’t assume every clinic is the same.
If you’re thinking about teeth whitening in Ahmedabad, choose a dentist who makes you feel comfortable, explains everything clearly, and focuses on both beauty and safety.
